Maxillofacial Trauma with Dental Intrusions in Adults, Conservative Treatment of Pulp Vitality and Emotional Support for the Patient
Article Main Content
In this clinical case of a 43-year-old woman who fell from a height of 3 meters, a preliminary clinical evaluation and vital signs were taken. She presented maxillofacial trauma without acute upper respiratory tract involvement, with a maxillary fracture and intrusive and lateral dislocation of five upper anterior teeth, as well as lacerations to the skin and oral mucosa.
Antibiotic therapy with ceftriaxone 1 g IM and tetanus vaccination were immediately administered, along with bleeding control, disinfection, and cosmetic suturing of the facial skin and lower lip wounds.
Complementary clinical and computed tomographic studies were performed to rule out cranial injuries. The day after the accident, after receiving medication, the intruded and luxated teeth were repositioned under local anesthesia. The multiple fractures were then reduced manually with digital pressure on the fractured ends, relocating the bone fragments to coincide with the pre-existing three-dimensional positions of the tooth roots. The maxillary fracture reduction was stabilized with a 19 × 25 stainless steel orthodontic archwire, secured to the maxillary teeth up to the first molars with composite adhesive fillings. This bone and tooth stabilization was maintained for 7 weeks. The patient was supplemented with transresveratrol 100 mg/day + Vitamin E 20 mg/day to promote bone healing. After removing the splint, the tooth fractures were reconstructed with nanoparticle resin.
The bone fractures allowed for greater periapical free space for blood supply, which could explain the maintenance of pulp vitality. Maintaining splinting for 7 weeks was sufficient to consolidate the bone fractures and stabilize the repositioned teeth without any dental ankylosis.
After healing and bone remodeling, all traumatized elements reduced the width of the thin buccal bone wall by up to 50%.
At the 16-month follow-up, preservation of pulp vitality, periodontal health, and maintenance of the crest bone level of all traumatized teeth were observed, along with minimal linear scarring on the skin of the chin and lip. Pulp canal obliteration (PCO) was found in the right central incisor, with a 60% reduction in canal diameter.
However, strict clinical/CT follow-up of the traumatized teeth for at least 5 years is required to verify and ensure pulp vitality and periodontal, bone, and periapical integrity.
Emotional support of the patient was a priority to mitigate her distress. This promoted calm and relaxation throughout the surgical procedure, where music was a key factor and encouraged strict adherence to the instructions and prescriptions. Furthermore, the aesthetic results achieved positively influenced the patient’s social interaction and self-image.
The repositioning of intrusive dislocations and the results obtained are encouraging. However, as this is a single case, there are no controls or comparative data, and this limitation suggests the need for more extensive research to validate this multifactorial treatment approach. Furthermore, systematic studies are needed to validate adjuvant therapy with resveratrol and emotional support protocols, encouraging research on patient psychology in dentistry.
Introduction
Maxillofacial trauma in polytrauma settings is often associated with multiple injuries, both trivial and life-threatening, and early detection is the cornerstone of definitive trauma treatment to prevent mortality and morbidity [1].
Regarding the mechanism of trauma, falling from a height has the highest risk for dental injuries [2]. Traumatic dental injuries (TDIs) affecting the periodontal and alveolar tissues can be classified as concussion, subluxation, extrusive luxation, intrusive luxation, lateral luxation, and avulsion. In these TDIs, treatment of the injured soft tissues, primarily the periodontal ligament and dental pulp, is crucial for maintaining the function and longevity of the injured teeth. Factors to consider in the treatment of luxation injuries include the maturation stage of the traumatized teeth, mobility, direction of displacement, distance of displacement, and presence of alveolar fractures [3].
Because complete dislocation of a tooth can cause frontal venous sinus abscess, airway complications, airway obstruction, and complicated lung abscess or sinusitis, the possibility of complete intrusion should be considered whenever a tooth is missing after dentoalveolar trauma. Computed tomography should be a routine diagnostic study in all cases with associated missing anatomical structures in the oral and maxillofacial region [4].
Traumatic intrusion is a luxation injury in which the tooth is axially displaced into the alveolus. This type of injury is most common in the primary dentition and represents between 0.3% and 1.9% of traumatic injuries observed in the permanent teeth [5].
In severe intrusions, the crown must be repositioned in the arch to avoid periapical pathology and marginal bone loss. There is minimal information on the effect of delayed treatment on pulpal and periodontal healing in intrusion trauma [6].
One study demonstrated that the severity of adverse outcomes observed in traumatized teeth is directly related to pulpal blood flow (PBF), which was measured using laser Doppler flowmetry (LDF). Tooth displacement injuries were classified as grade I (subluxation), grade II (lateral or extrusive luxation), or grade III (avulsion or intrusive luxation). The results were classified as follows: “absence of sensation loss, periapical radiolucency, and/or gray discoloration of the crown," type I (sensation loss), type II (sensation loss and periapical radiolucency or gray discoloration of the crown), and type III (sensation loss, periapical radiolucency, and gray discoloration of the crown) [7].
Pulp canal obliteration (PCO) is a physiological response of the pulp to a traumatic event, usually a luxation injury. The prevalence of PCO ranges from 21.9% to 27.6% [8].
After traumatic injury, the teeth should be repositioned to their original position, or repositioning can be performed manually by the dentist. Once the tooth has returned to its original position, a splint is used to maintain its position. From the patient's perspective, the splint should not interfere with biting, cleaning, or speech. The length of time the splint remains in place depends on the injury, mobility of the tooth, and the affected tissues. The injured tooth or teeth then require long-term follow-up (at least 12 months) to assess healing, particularly of the gum and soft tissues surrounding the tooth and, crucially, of the pulp within, which keeps the tooth alive. When indicated (i.e., if the pulp inside the tooth has died), additional treatment, such as a root canal, may be necessary [9].
Patients who received exogenous or dietary antioxidants such as vitamin E and polyphenols (resveratrol), improved overall bone health and, after bone fracture, had increased superoxide dismutase (SOD1) activity, which reduced reactive oxygen species (ROS) and increased osteocalcin activity. This leads to rapid healing of compromised defects by limiting inflammation and shortening the patient's recovery time [10].
The psychological burden of maxillofacial trauma represents an often underestimated aspect of patient management. The visible nature of facial injuries significantly affects body image, self-esteem, and social interactions. Posttraumatic stress disorder affects up to 27% of patients with facial trauma within the first year after injury [11]. Patients suffering from maxillofacial trauma can benefit from psychological support [12]. This study emphasizes the psychological and emotional support of the patient. However, it aims to demonstrate that early minimally invasive repositioning, rigid splinting, and complementary biological measures can maintain dental vitality and achieve favorable long-term outcomes in intrusive dental luxations and maxillary fractures.
Methods
Clinical Case
A 42-year-old female patient with maxillofacial trauma presented to our clinic as an outpatient, conscious, after an accidental 3-meter fall from the roof of her home. She had severely bleeding lacerations on the skin of her lower lip and multiple fractures of dental crowns.
Clinical Findings, Disinfection and Suturing of Wounds
Initial triage was performed, assessing vital signs, airway patency, respiration, and a neurological examination, including the level of consciousness (Glasgow Scale) [13].
During emergency clinical examination, a laceration wound was observed on the lower lip with complete separation of the orbicularis oris muscle at the skin-semimucosa boundary (Fig. 1a) and a deep cut at the bottom of the vestibular sulcus (Fig. 1c). In addition, all upper anterior elements were dislocated to varying degrees (Fig. 1b). After local anesthesia, the wounds were disinfected and washed with 3% hydrogen peroxide. The wound edges were then repositioned (Fig. 1d) and sutured with simple 5.0 Nylon sutures which were checked the next day (Fig. 1e). After 24 hours, a large hematoma and edema of the floor of the mouth and neck developed (Fig. 1f).
Fig. 1. Clinical view of maxillofacial trauma.
A 1-gram ampoule of ceftriaxone (Acantex) was injected intramuscularly, followed by a tetanus booster vaccine and analgesic medication. A head CT scan was performed, followed by an initial 4-hour observation and a 24-hour outpatient follow-up to rule out neurological injuries. From the outset, emotional support of the patient was a priority and promoted his calm and relaxation throughout the procedure. Furthermore, it facilitated strict and fundamental adherence to the indications and prescriptions throughout the conservative treatment process.
Diagnostic Evaluation
The final diagnostic evaluation was performed using cone beam computed tomography (CBCT), which revealed multiple maxillary fractures in the anterior nasal spine, nasal floor, and alveolar bone. Fractures that extend through a tooth or its alveolus create an opening that allows bacteria that inhabiting the oral ecosystem to infect the lower jaw (mandible) or upper jaw, as in this case. Therefore, broad-spectrum antibiotic coverage for 1 week is imperative.
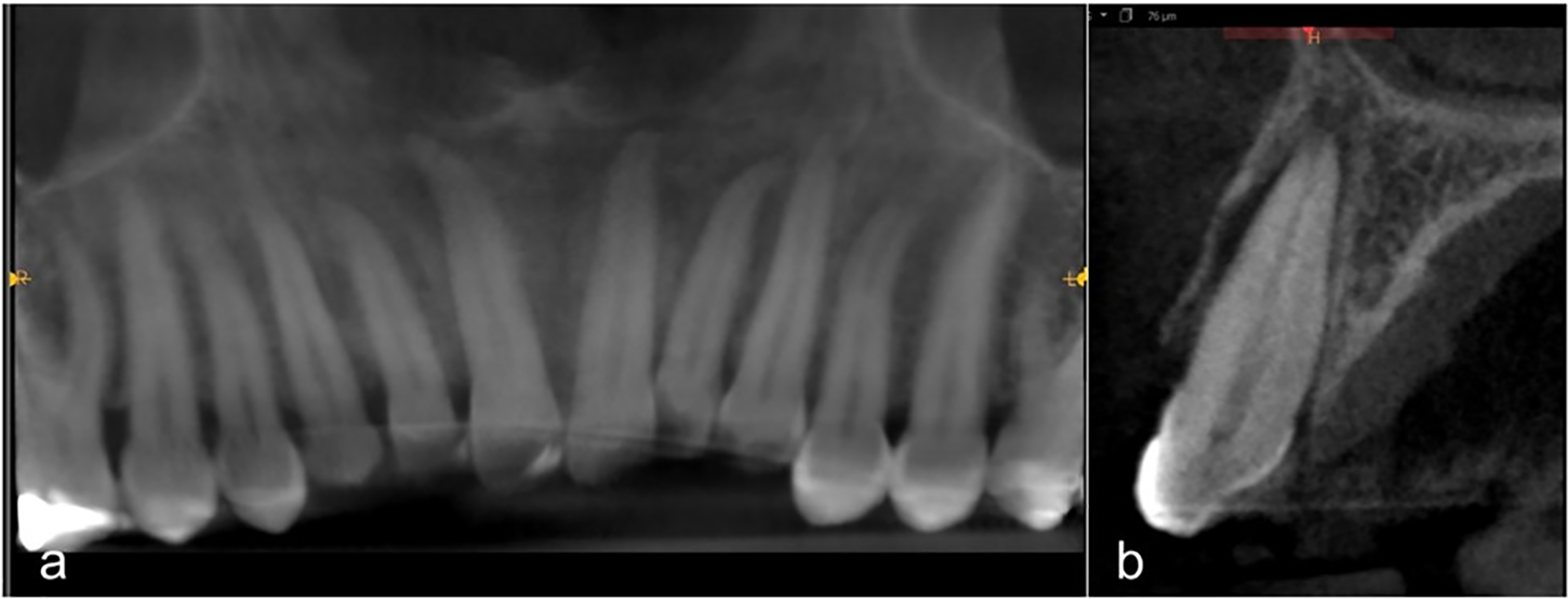
Intrusive luxation (grade 3) of the lateral incisors and left canine (Fig. 2a) and lateral luxation (grade 2) of the central incisors (Fig. 2b) were observed. Additionally, destruction of the nasal fossa floor (Fig. 2c) and three fractured bone fragments on the buccal side of the left canine (Fig. 2d) were found.
Fig. 2. CBCT: a) 3D anterior view, b) 3D left lateral view, c) panoramic CBCT, d) sagittal view left canine.
To assess the damage, prognosis, and treatment options for dental luxations with concomitant bone wall fracture, we propose six parameters that can be measured on the sagittal CBCT section (Fig. 3). We used the palatal bone wall as a reference due to its greater stability and strength. Intrusive luxation (IL) was measured from the palatal cementoenamel border to the gingival margin. Lateral dislocation (LL) from the external limit of the palatal bone crest to the palatal surface of the tooth. The apical canal diameter (ADC) was measured at the apical end of the root canal as a parameter of pulp flow. The periapical free space (PC), measured from the apical limit to the apical alveolar bone, is key for blood supply because it allows the passage of the pulpal neurovascular bundle (this parameter could be key to predicting pulp viability). Maximum displacement of the buccal bone wall (DBW) records the greatest distance from the thin buccal bone crest to the external limit of the palatal bone crest; to measure the true DBW, the root width (RW) at that point must be subtracted. Regarding the possibility of pulp canal obliteration (PCO), the diameter at the widest area of the root canal was measured as a reference for controls. We do not recommend using the periodontal ligament width as a parameter at this stage due to the loss of references for measurements. All measured parameters are summarized in Table I.
Fig. 3. Proposed parameters for prognosis and treatment alternatives: a) left central incisor, b) left lateral incisor.
| TOOTH | IL | LL | ADC | PC | DBW | PCO (control) |
|---|---|---|---|---|---|---|
| Left canine | 5,6 mm | 1,4 mm | 0,7 mm | 1,6 mm | 3,5 mm | 1,6 mm |
| Left lat. incisor | 8,5 mm | 0,6 mm | 0,6 mm | 2,4 mm | 5,3 mm | 1,0 mm |
| Left ctr. incisor | 5,5 mm | 5,0 mm | 0,4 mm | 1,1 mm | 4,6 mm | 1,5 mm |
| Right ctr. incisor | 4,7 mm | 3,6 mm | 0,6 mm | 3,4 mm | 3,6 mm | 1,5 mm |
| Right lat. incisor | 5,5 mm | 0,7 mm | 0,5 mm | 0,0 mm | 1,9 mm | 1,2 mm |
Therapeutic Intervention
48 hours after TDI, all luxated and/or intruded teeth (LI on the lateral incisors and right canine and LL on the central incisors Fig. 4a) were properly repositioned with digital traction, except for the left canine, which was severely impacted and therefore gently and carefully removed using the appropriate extraction forceps. Venous flow was immediately reestablished, and the skin of the nose and suborbital region turned bluish. After the teeth were correctly repositioned, the multiple fractures were reduced manually with digital pressure on the fractured ends, relocating the fragments to coincide with the pre-existing three-dimensional positions of the tooth roots. The enamel of the dental elements on the buccal surface (middle third) of the teeth from the right first molar to the left first molar was etched with 37% orthophosphoric acid. After washing with plenty of water and drying, the surfaces were impregnated with 3M® Single Bond adhesive for subsequent photocuring with a halogen light. A 19 × 25 stainless steel orthodontic archwire was selected and adapted to splint the 12 dental elements of the maxilla. 3M® Z350 nanoparticle paste was used to firmly fix the archwire to the dental surfaces, thus creating a rigid splint to simultaneously stabilize the traumatized teeth and reduce bone fractures of the maxilla (Fig. 4b). A nutritional plan was established that included a daily intake of 60 g concentrated whey protein and a soft diet for 45 days. In addition, it was supplemented with transresveratrol 100 mg/day + Vitamin E 20 mg/day (Framintrol ®) to promote bone healing because its antioxidant effects and potent anti-inflammatory and analgesic properties, as it exerts regulatory effects on various cellular processes, such as apoptosis, cell cycle progression, angiogenesis and immune responses [14], [15].
Fig. 4. Therapeutic intervention at 48hs: a) preoperative, b) splinting.
Follow-up and Monitoring
After dental splinting and fracture reduction, the patient underwent weekly monitoring, and she progressed favorably both physically and psychologically through the wound healing and bone healing process. The soft tissue wound healing progressed favorably after two weeks of follow-up, with positive aesthetic results from the patient's perspective (Fig. 5).
Fig. 5. Soft tissue healing: a) 4 days, b) 8 days, c) 14 days, d) Vestibularsulcus scar at 14 days.
Over 50 days, new CBCT images were performed to monitor the fractures, verifying proper bone healing and dental alignment. The five traumatized teeth showed no mobility or ankylosis. Bone healing of the fractures and dental alignment are observed in panoramic view (Fig. 6a). Sagittal section of the left canine shows healing of the triple fracture of the buccal bone wall and preserved periodontal ligament space (Fig. 6b).
Fig. 6. CBCT follow-up at 50 days.
Rehabilitation
The traumatized teeth were released from the splint at 50 days (7 weeks). The fractured dental crowns were restored with 3M® Z350 nanoparticle resin, restoring the patient's functionality and aesthetics (Fig. 7).
Fig. 7. Rehabilitation sequence: a) healing at 30 days, b) removal of splint at 50 days, c) acid etching, d) aesthetic result, e) patient satisfaction.
A dual-function retention/relaxation plate was immediately fabricated to maintain the newly achieved orthodontic treatment and prevent parafunctional masticatory loading.
Results
Follow-up
At 50 days, the first CBCT follow-up was performed, which confirmed the healing of the IL and LL dislocations. In addition, bone healing of the buccal and apical alveolar wall fractures and a reduction in periapical free space were also observed. All predictive follow-up parameters were improved or stabilized except for the maxillary right central incisor, which reduced the ADC by 0.1 mm (16%) and the PCO by 0.3 mm (13%), without detriment to pulp vitality (Table II).
| TOOTH | IL | LL | ADC | PC | DBW | PCO |
|---|---|---|---|---|---|---|
| Left canine | 0 mm | 0 mm | 0,7 mm | 1,2 mm | 0 mm | 1,6 mm |
| Left lat. incisor | 0 mm | 0,6 mm | 0,5 mm | 0,7 mm | 1,2 mm | 1,0 mm |
| Left ctr. incisor | 0 mm | 0 mm | 0,6 mm | 1,0 mm | 0 mm | 1,5 mm |
| Right ctr. incisor | 0 mm | 0 mm | 0,5 mm | 1,0 mm | 0 mm | 1,2 mm |
| Right lat. incisor | 0 mm | 0 mm | 0,5 mm | 0,5 mm | 0 mm | 1,2 mm |
At 5 months, the second CBCT follow-up revealed thinning of the thin buccal bone walls (BW) of both central incisors, which had the largest LL (5 mm and 3.6 mm). The periodontal ligament width was found to be within a range of 0.1 mm–0.15 mm, with no ankylosis in the 5 teeth with DDI.
The patient's outpatient follow-up was performed monthly for 12 months, with no changes in color or mobility observed in the traumatized elements. In addition, cold stimulus endodontic diagnostic tests and a digital pulpometer were performed using a weak electric current on the 5 traumatized teeth, which surprisingly maintained pulp vitality.
At 16 months, the third CBCT examination was performed, to compare the sagittal sections and observe the progress. The sagittal CBCT of the right central incisor at 48 hours showed lateral dislocation and fracture of the incisal third of the crown, a wide periapical free space (PC) due to the nasal fossa floor fracture, normal width of the buccal bone wall (BW), and a control pulp chamber and pulp canal (PCO) diameter without calcifications (Fig. 8a).
Fig. 8. Evolution of the right central incisor: a) sagittal CBCT at 48 hours, b) control at 16 months.
The 16-month follow-up showed a reduction in the PC and BW following bone healing and maintenance of the incisal third reconstruction. Furthermore, confirming pulp canal obliteration (PCO) in the maxillary right central incisor, which had reduced its diameter by more than 60% in the measurement taken at the widest area (junction of the middle third and the apical third of the root). The thin buccal bone wall reduced its width by 50% following bone remodeling (Fig. 8b). Although pulp vitality was preserved, a 5-year follow-up of all traumatized elements will be performed.
Clinical monitoring at 16 months after TDI revealed no changes in tooth color, and the stability of the aesthetic reconstructions of the dental crowns was verified (Fig. 9a). A retaining plate was used from day 50 after reconstruction of the lost dental anatomy to maintain orthodontic treatment and prevent masticatory overload (Fig. 9b).
Fig. 9. a) Clinical view of the aesthetic result at 16 months, b) retaining plate.
CBCT follow-ups 16 months after the trauma showed no signs of apical infection or root resorption. Furthermore, no marginal bone loss or periodontal ligament widening was detected. Transient apical breakdown (TAB), a phenomenon indicating temporary apical periodontal destruction and root resorption after tooth luxation injuries [16], was also not evident at this follow-up. Maintained bone integrity was observed, with periapical areas free of radiolucency, 3D dental alignment, and consolidation of the multiple fractures of the maxilla, anterior nasal spine, nasal fossa floor, and alveolar bone (Figs. 10a–10c). The sagittal section of the left canine shows thinning of the buccal bone wall without clinical involvement (Fig. 10d).
Fig. 10. CBCT at 16 months after TDI: a) 3D anterior view, b) 3D left lateral view, c) panoramic, d) sagittal section left canine.
Patient Perspective
The patient rated the treatment favorably and highlighted the emotional support and reassurance provided by the professional team. She also emphasized the importance of rapid diagnosis and timely intervention. The patient’s sense of trust in the professional's actions is key in cases of trauma without loss of consciousness for establishing a “therapeutic bond.” This is based on recognizing a trained and responsible professional team that knows what to do and when to do it. The patient felt safe and supported throughout each procedure, verifying the humanization of professional practices and healthcare settings at all times. This was especially true during the surgical intervention, where music was a key element that allowed her to focus his attention elsewhere, relieving the tension of the moment. Finally, she emphasized that the immediate availability of healthcare professionals with the patient during the treatment process, follow-up, and willingness to answer a phone call or message fosters this therapeutic bond and is a large part of the treatment's success.
Limitations and Difficulties of the Study
Ninety-nine percent of dentists are not prepared to handle a case of this magnitude (maxillofacial trauma with bone fractures and TDIs in adults). Furthermore, there is only a 48–72 hour window to plan and execute a procedure for which the existing literature is very scattered and scarce. Very recently, an expert consensus on the treatment of dental dislocation and avulsion [17] with general guidelines was published. Due to the multiplicity of concomitant injuries, the conservative holistic approach with emotional support and tissue preservation results obtained, there are no similar publications to date in adults for comparative studies.
Multidisciplinary teams should be formed for specialized care and future lines of research into the multifactorial treatment of dental luxations with bone table fractures and maxillofacial trauma. These teams should ideally encompass eight healthcare specialties, including a general dentist and specialists in the areas of diagnostic imaging, endodontics, periodontics, orthodontics, and maxillofacial surgery. In addition, a psychologist and plastic surgeon are essential.
Discussion
The repositioning of the intrusive dislocations in our clinical case and the results obtained confirm the express recommendation of the expert consensus [17]. Therapeutic treatments for dentomaxillofacial trauma in adults can be approached with a radical approach because of the severity of the bone and dental injuries [18]. However, despite the complexity of dental luxations with concomitant bone wall fractures, conservative treatment was performed, preserving the integrity of the involved hard and soft tissues [3], [19].
The timing of intervention significantly influences treatment outcomes. For isolated facial fractures without substantial soft tissue involvement, early definitive treatment is preferred within 72 hours of the injury [11], which coincides with the time elapsed in our case (48 hours). Delayed treatment of DIDs leads to increased complications. Pulp necrosis (PN) was the most common complication, followed by tooth discoloration, root resorption, and PCO among patients who requested late treatment [20]. In our case, pulp canal obliteration (PCO) was found in the right central incisor, with a canal diameter reduction greater than 60% and a prevalence of 20% close to that described by other authors (21.9% and 27.6%) [8]. In cases of dislocation or avulsion associated with bone plate fractures, various authors suggest the use of splints for 4 to 8 weeks [21], in line with the 7-week timeframe in our study. Diagnosis of pulp vitality is key to determining the need for endodontic treatment of the traumatized tooth. Conventional sensitivity tests (hot/cold, electric pulp tests) obtain significant results later (7 weeks) compared to LDF laser Doppler flowmetry tests (1 week) [22]. Our team lacks the necessary instruments for the LDF study, which is essential for accurately determining pulp blood flow. However, the apical canal diameter (ACD) was measured at the apical end of the root canal on CBCT and used as an indirect parameter for measuring pulp blood flow. However, cold stimulus sensitivity tests are of high diagnostic value and provide adequate and highly consistent results for ruling out vital or necrotic pulp. However, their main disadvantages remain they rely on a qualitative response from the patient, which is highly subjective, and they necessarily require experience and skill on the part of the clinician for their execution and interpretation [23].
Transient apical break (TAB) can be expected in many cases of luxation injuries with minimal dislocation. The impact of the fall from a height, in our study, probably produced a “block displacement” of all the structures of the dento-alveolar complex (tooth, periodontal ligament, alveolar bundle bone, alveolar through channel with its alveolar artery and vein, and dental vasculonervous bundle crossing the apical foramen). This allowed the maintenance of blood vascularization of the teeth involved; however, dental intrusions without associated bone fractures lead to the loss of blood supply and pulp vitality. In our clinical case, the bone fractures allowed for a larger periapical (PC) free space ≤3.4 mm, which is essential for blood supply. This flexibility in the periapical area likely allowed for partial stretching or tearing of the pulpal neurovascular bundle without complete shearing and could explain the maintenance of pulp vitality in the 5 teeth with dental luxations. Therefore, mild lesions (subluxation, extrusion, and lateral luxation) may present spontaneous healing, recovery of dark crown discoloration, disappearance of a periapical radiolucent lesion, and return to normal response to electric pulp testing (EPT) up to 12 months after the traumatic injury. Because of this situation, the decision to perform endodontic treatment in these cases may be postponed until there is clear evidence of infection [24]. Pulp canal obliteration (PCO) is diagnosed based on a combination of radiographic and clinical and anamnestic data. Signs of PCO begin to appear approximately one year after the traumatic event, as in the clinical case presented, and its development is complete approximately five years after the trauma. Pulp necrosis (PN), on the other hand, clearly manifests itself in the first year. Endodontic treatment, either as a preventive measure or after the detection of PCO, is inadequate and can cause serious iatrogenic damage. This treatment is indicated only in cases of definitive PN [25] for this reason we preferred to maintain the pulp vitality of the 5 teeth involved. It can be concluded that PN was the main post-traumatic complication observed in traumatized teeth and that delay in seeking treatment may impair the prognosis of severe luxation and reimplanted teeth [26]. Furthermore, the long-term development of internal root resorption highlights the importance of continuous follow-up examinations for patients with dental trauma [27]. The use of resveratrol 100 mg/day + Vitamin E was used as a dietary supplement for implant treatment in a patient with CREST syndrome and osteoporosis. It was confirmed by bone densitometry (BMD) that the patient developed osteopenia within 1 year, which improved bone quality and prognosis at 10 years of follow-up [28]. In addition, resveratrol has been shown to inhibit NF-κB and RANKL-mediated osteoclastogenesis, oxidative stress, and inflammation, while increasing osteogenesis and stimulating the differentiation of mesenchymal stem cells into osteoblasts, increasing osteogenic differentiation. Resveratrol has also been shown to be the most potent activator of SIRT1 (gene encoding the protein Sirtuin 1), which causes stimulating effects on osteoblasts and inhibitory effects on osteoclasts [29], [30]. Despite promising preclinical and in vitro findings, challenges remain in translating the osteoprotective effects of resveratrol into clinical applications due to its chemical instability, poor water solubility, low bioavailability, and rapid metabolism in the gut and liver. Several strategies, including nanoparticle-based delivery systems and structural modifications, are being explored to improve its bioefficacy. Furthermore, while some clinical studies have reported improved bone markers and BMD after resveratrol supplementation, further large-scale randomized controlled trials (RCTs) are needed to establish its long-term efficacy and safety [31]. Regarding the psychological impact of the maxillofacial trauma in our case, the aesthetic results positively influenced the patient's social interaction and self-image. While functional restoration is the primary objective, patient psychological recovery and treatment satisfaction depend substantially on the aesthetic results, which must be considered in comprehensive treatment planning [11].
Conclusions
The correct repositioning of the luxated teeth and the reduction of the multiple fractures manually with digital pressure on the fractured ends, relocating the fragments to coincide with the pre-existing three-dimensional positions of the tooth roots within the first 48 hours, favors the possibility of tissue preservation.
The bone fractures allowed for greater periapical free space, crucial for blood supply. This accidental flexibility in the periapical area likely enabled stretching or partial injury of the pulpal neurovascular bundle, allowing revascularization, which could explain the maintenance of pulp vitality in the five teeth with dental luxations. Maintaining splinting for 7 weeks was sufficient to consolidate the bone fractures and stabilize the repositioned teeth without any dental ankylosis. However, the use of a retaining plate after reconstructing the lost dental anatomy is the only guarantee of long-term stability and prevention of overload.
All traumatized elements, after healing and bone remodeling, reduced the width of the thin buccal bone wall by up to 50%.
Pulp canal obliteration (PCO) was found in the right central incisor, with a 60% reduction in canal diameter at 16 months. However, strict clinical/CT follow-up of the traumatized teeth for at least 5 years is required to verify and ensure pulp vitality and periodontal, bone, and periapical integrity.
Emotional support for the patient was a priority, recognizing and mitigating the patient's distress by specifying the feasibility of treatment and recovery. This promoted calm and relaxation throughout the surgical procedure, where music was a key factor. Furthermore, it encouraged strict and fundamental adherence to the indications and prescriptions throughout the conservative treatment. The aesthetic results achieved positively influenced the patient's social interaction and self-image.
The repositioning of the intrusive dislocations and the results obtained are encouraging. However, as this is a single case, there are no controls or comparative data, and this limitation suggests the need for more extensive research to validate this multifactorial treatment approach. Furthermore, systematic studies are needed to validate adjuvant therapy with resveratrol and emotional support protocols, encouraging research on patient psychology in dentistry.
References
-
[1] Tiwari AK, Agrawal A, Pal US, Singh G, Katrolia R, Jain DK. Missed injuries associated with maxillofacial trauma. Natl J Maxillofac Surg. 2023 May-Aug;14(2):282–5.
Google Scholar
1
-
[2] Zhou HH, Ongodia D, Liu Q, Yang RT, Li ZB. Dental trauma in patients with maxillofacial fractures. Dent Traumatol. 2013 Aug;29(4):285–90.
Google Scholar
2
-
[3] Huang R, Zhou C, Zhan L, Liu Y, Liu X, Du Q, et al. Experts consensus on management of tooth luxation and avulsion. Int J Oral Sci. 2024 Sep 26;16(1):57.
Google Scholar
3
-
[4] Chrcanovic BR, Bueno SC, da Silveira DT, Custódio AL. Traumatic displacement of maxillary permanent incisor into the nasal cavity. Oral Maxillofac Surg. 2010 Sep;14(3):175–82.
Google Scholar
4
-
[5] Andreasen JO, Bakland LK, Matras RC, Andreasen FM. Traumatic intrusion of permanent teeth. Part 1. An epidemiological study of 216 intruded permanent teeth. Dent Traumatol. 2006 Apr;22(2):83–9.
Google Scholar
5
-
[6] Belevcikli M, Altan H, Altan A. Surgical extrusion of anterior teeth with intrusion traumatic injury: a report of two cases. Eur Endod J. 2020 Dec;5(3):295–9.
Google Scholar
6
-
[7] Emshoff R, Moschen I, Strobl H. Adverse outcomes of dental trauma splinting as related to displacement injury and pulpal blood flow level. Dent Traumatol. 2008 Feb;24(1):32–7.
Google Scholar
7
-
[8] Abreu MGL, Fernandes TO, Antunes LS, Antunes LAA, Faria LCM. Prevalence of pulp canal obliteration after traumatic dental injuries: a systematic review and meta-analysis. Braz Oral Res. 2024 Sep 30;38:e092.
Google Scholar
8
-
[9] Belmonte FM, Macedo CR, Day PF, Saconato H, Fernandes Moça Trevisani V. Interventions for treating traumatised permanent front teeth: luxated (dislodged) teeth. Cochrane Database Syst Rev. 2013 Apr 30;2013(4):CD006203.
Google Scholar
9
-
[10] Awad K, Ahuja N, Yacoub AS, Brotto L, Young S, Mikos A, et al. Revolutionizing bone regeneration: advanced biomaterials for healing compromised bone defects. Front Aging. 2023 Jul 14;4:1217054.
Google Scholar
10
-
[11] Maniaci A, Lentini M, Vaira L, Lavalle S, Ronsivalle S, Rubulotta FM, et al. The global burden of maxillofacial trauma in critical care: a narrative review of epidemiology, prevention, economics, and outcomes. Medicina (Kaunas). 2025 May 18;61(5):915.
Google Scholar
11
-
[12] Lee KH, Chua J. Psychosocial support following maxillofacial trauma and its impact on trauma recurrence. J Maxillofac Oral Surg. 2018 Mar;17(1):32–7. doi: 10.1007/s12663-016-0979-2.
Google Scholar
12
-
[13] Teasdale G, Jennett B. Assessment of coma and impaired consciousness. A practical scale. Lancet. 1974 Jul 13;2(7872):81–4.
Google Scholar
13
-
[14] Faisal Z, Mazhar A, Batool SA, Akram N, Hassan M, Khan MU, et al. Exploring the multimodal health-promoting properties of resveratrol: a comprehensive review. Food Sci Nutr. 2024 Jan
Google Scholar
14
-
28;12(4):2240–58.
Google Scholar
15
-
[15] Wang B, Jiang HM, Qi LM, Li X, Huang Q, Xie X, et al. Deciphering resveratrol’s role in modulating pathological pain: from molecular mechanisms to clinical relevance. Phytother Res. 2024 Jan;38(1):59–73.
Google Scholar
16
-
[16] Andreasen FM. Transient apical breakdown and its relation to color and sensibility changes after luxation injuries to teeth. Dent Traumatol. 1986;2:9–19.
Google Scholar
17
-
[17] Huang R, Zhou C, Zhan L, Liu Y, Liu X, Du Q, et al. Experts consensus on management of tooth luxation and avulsion. Int J Oral Sci. 2024 Sep 26;16(1):57.
Google Scholar
18
-
[18] Liebregts JHF, Xi T, Verhamme L, Kramer B, Wouters M, Meijer GJ. Reconstructie na aangezichtstrauma met dentoalveolair letsel [Reconstruction after facial trauma with dento-alveolar injury]. Ned Tijdschr Tandheelkd. 2022 Apr;129(4):169–73. Dutch.
Google Scholar
19
-
[19] Vitali FC, Sumar GR, Savaris JM, Marin C, da Fonseca Roberti Garcia L, da Silveira Teixeira C. Clinical management of orofacial trauma including multiple avulsions, lateral luxation, and alveolar fracture: a case report with 7-years of follow-up. J Endod febrero de. 2025;51(2):213–21.E1.
Google Scholar
20
-
[20] Chaudhary S, Singh H, Gharti A, Adhikari B. Evaluation of clinical and radiographic findings among patients with traumatic dental injuries seeking delayed treatment. Int J Dent. 2021 Aug 23;2021:9549508.
Google Scholar
21
-
[21] Veras SRA, Bem JSP, de Almeida ECB, Lins CCDSA. Dental splints: types and time of immobilization post tooth avulsion. J Istanb Univ Fac Dent. 2017 Dec 2;51(3 Suppl 1):S69–75.
Google Scholar
22
-
[22] Roeykens H, Van Maele G, Martens L, De Moor R. L’évaluation du débit sanguin dentaire par Laser Doppler comme test diagnostique pour un suivi à long terme: une étude de cas [Evaluation of pulpal blood flow by laser doppler flowmetry as a test of tooth vitality in long-term follow-up: case report]. Rev Belge Med Dent (1984). 2004;59(2):121–9. French.
Google Scholar
23
-
[23] Ozal Mora MA, De Angelis CP. Pruebas Térmicas de Sensibilidad Pulpar en Dientes Permanentes con Pulpitis: valor Diagnóstico y Limitaciones. Revista de Odontopediatría Latinoamericana. 2004;14:14–8.
Google Scholar
24
-
[24] Tsukiboshi M, Berlin-Broner Y, Levin L. Transient apical breakdown: incidence, pathogenesis, and healing. Dent Traumatol. 2025 Feb;41(1):72–9. doi: 10.1111/edt.13002.
Google Scholar
25
-
[25] Spinas E, Deias M, Mameli A, Giannetti L. Pulp canal obliteration after extrusive and lateral luxation in young permanent teeth: a scoping review. Eur J Paediatr Dent. 2021;22(1):55–60.
Google Scholar
26
-
[26] Rocha Lima TF, Nagata JY, de Souza-Filho FJ, de Jesus Soares A. Post-traumatic complications of severe luxations and replanted teeth. J Contemp Dent Pract. 2015 Jan 1;16(1):13–9.
Google Scholar
27
-
[27] Heithersay GS. Life cycles of traumatized teeth: long-term observations from a cohort of dental trauma victims. Aust Dent J. 2016 Mar;61(Suppl 1):120–7.
Google Scholar
28
-
[28] Garcés Villalá MA, Zorrilla Albert C. Limited cutaneous systemic sclerosis: total rehabilitation with fixed prosthesis on dental implants. J Scleroderma Relat Disord. 2021 Oct;6(3):299–305.
Google Scholar
29
-
[29] Ozturk S, Cuneyit I, Altuntas F, Karagur ER, Donmez AC, Ocak M, et al. Resveratrol prevents ovariectomy-induced bone quality deterioration by improving the microarchitectural and biophysicochemical properties of bone. J Bone Miner Metab. 2023 Jul;41(4):443–56.
Google Scholar
30
-
[30] Ahmad Hairi H, Jayusman PA, Shuid AN. Revisiting resveratrol as an osteoprotective agent: molecular evidence from in vivo and in vitro studies. Biomedicines. 2023 May 16;11(5):1453.
Google Scholar
31
-
[31] Shuid AN, Abdul Nasir NA, Ab Azis N, Shuid AN, Razali N, Ahmad Hairi H, et al. A systematic review on the molecular mechanisms of resveratrol in protecting against osteoporosis. Int J Mol
Google Scholar
32
-
Sci. 2025 Mar 22;26(7):2893.
Google Scholar
33





