Metropolitan Autonomous University, Mexico
Intercontinental University, Mexico
Metropolitan Autonomous University, Mexico
Metropolitan Autonomous University, Mexico
National Institute of Cardiology “Ignacio Chávez”, Mexico
Translational Medicine Unit, National Institute of Cardiology “Ignacio Chávez”, Mexico
Intercontinental University, Mexico
General Hospital “Dr. Manuel Gea González”, Mexico
* Corresponding author

Article Main Content

Aim: To evaluate osteoclast inhibition following micropulse vibration and the effects of micropulse vibration on the expression of IL-1β, TNF-α, and RANKL in osteoblasts and osteoclasts and that of cathepsin K (CatK) in osteoclasts cultivated in vitro.

Materials and methods: Primary murine osteoblasts and osteoclasts were cultured in vitro and stimulated with an AcceleDent Aura device for 20 min per day for 0 to 96 hours, with microvibrations of 0.25 N/30 Hz. Subsequently, the levels of IL-1β, TNF-α, and RANKL in the supernatants of the culture medium of both types of cells were measured by enzyme-linked immunosorbent assays (ELISAs). In addition, the level of CatK in osteoclasts was evaluated by flow cytometry.

Results: Microvibrations significantly upregulated IL-1β and TNF-α expression and downregulated RANKL expression in osteoblasts compared with the corresponding expression in the control group. Compared to those in the control group, osteoclasts treated with microvibrations showed significant downregulation of IL-1β, TNF-α, and RANKL expression. CatK levels in stimulated osteoclasts were increased compared to those in the control group.

Conclusion: The type of microvibration applied in this study inhibits osteoclastogenesis and upregulates the expression of CatK, an enzyme that induces bone matrix degradation in osteoclasts cultured in vitro, which stimulates bone formation by osteoblasts and accelerates bone mineralization.

Introduction

Bone cells are sensitive to mechanical loading and microvibrations, which activate molecular signalling pathways [1]–[3]. Microvibrations have been shown to enhance skeletal bone deposition by decreasing osteoclast activity [4] and increasing bone mineral density in the hip and spine during postmenopausal bone loss [5]; nonetheless, the underlying molecular pathways remain largely unknown.

A previous report showed that microvibration of osteoblasts cultivated in vitro upregulated interleukin-4 (IL-4), interleukin-13 (IL-13) and osteoprotegerin (OPG) expression and downregulated receptor activator of nuclear factor kappa-B ligand (sRANKL) expression, which inhibited osteoclast activity [3]. Moreover, for bone remodelling, cathepsin K (CatK), a proteolytic enzyme, must be expressed by bone cells to mediate bone resorption [6]. Thus, if osteoclast activity stimulated by microvibrations is inhibited, does CatK expression activate bone remodelling to increase cortical bone formation?

Orthodontists use mechanical forces as a treatment to move teeth, which is a complex biological process involving molecular and cellular events in the region between the periodontal ligament and the alveolar bone [7]–[10]. Microvibration was introduced to orthodontics to accelerate tooth movement, but the cellular and molecular events remain unclear.

Consequently, this study used murine calvarial osteoblasts and bone marrow-derived osteoclasts as models to determine osteoclast inhibition following micropulse vibrations and the effects of these vibrations on the expression of interleukin-I β (IL-1β), tumour necrosis factor-α (TNF-α), and RANKL in osteoblasts and osteoclasts and that of the CatK protease in osteoclasts cultivated in vitro to evaluate the response.

Materials and Methods

Primary Murine Osteoblast and Bone Marrow Cell Cultures

Calvarial osteoblast and bone marrow cell cultures were characterized with a proven technique as previously defined [1], [11], [12]. Briefly, the skulls of newborn BALB/c mice were obtained, consecutively cut, and then placed in a Petri dish containing 1 mg/mL trypsin and digested for 20 minutes. The released osteoblasts were placed in a 12 mm Falcon tube with 500 mL of medium and centrifuged at 1000 rpm for 6 minutes, and the pelleted osteoblasts were resuspended in 1:1 Dulbecco’s modified Eagle’s medium supplemented with antibiotics and antimycotics at 1% and 20% foetal calf serum (Sigma‒Aldrich, USA). The cells were then seeded into 24-well plates at 1 × 106 cells/well.

Osteoclasts were derived from bone marrow cells from aseptically isolated tibiae of BALB/c mice; the tibias were placed in a 20-mm Petri dish with alpha Minimum Essential Medium (α-MEM) and cut into sections. Afterwards, the cells were placed in 15 mm Falcon tubes and centrifuged at 1000 rpm for 6 minutes; the cells were plated in 24-well plates at 1 × 106 cells/well. The cells were cultured in α-MEM supplemented with 10−8 M dihydroxyvitamin D3 [1,25(OH)2D3. Sigma, Germany], 10% foetal calf serum (Sigma‒Aldrich, USA), 100 mg/mL streptomycin, and 100 units/mL penicillin, and both types of cells were grown in a humidified atmosphere at 37 °C with 95% air and 5% CO2.

Staining of the Tartrate-Resistant Acid Phosphatase in Osteoclasts

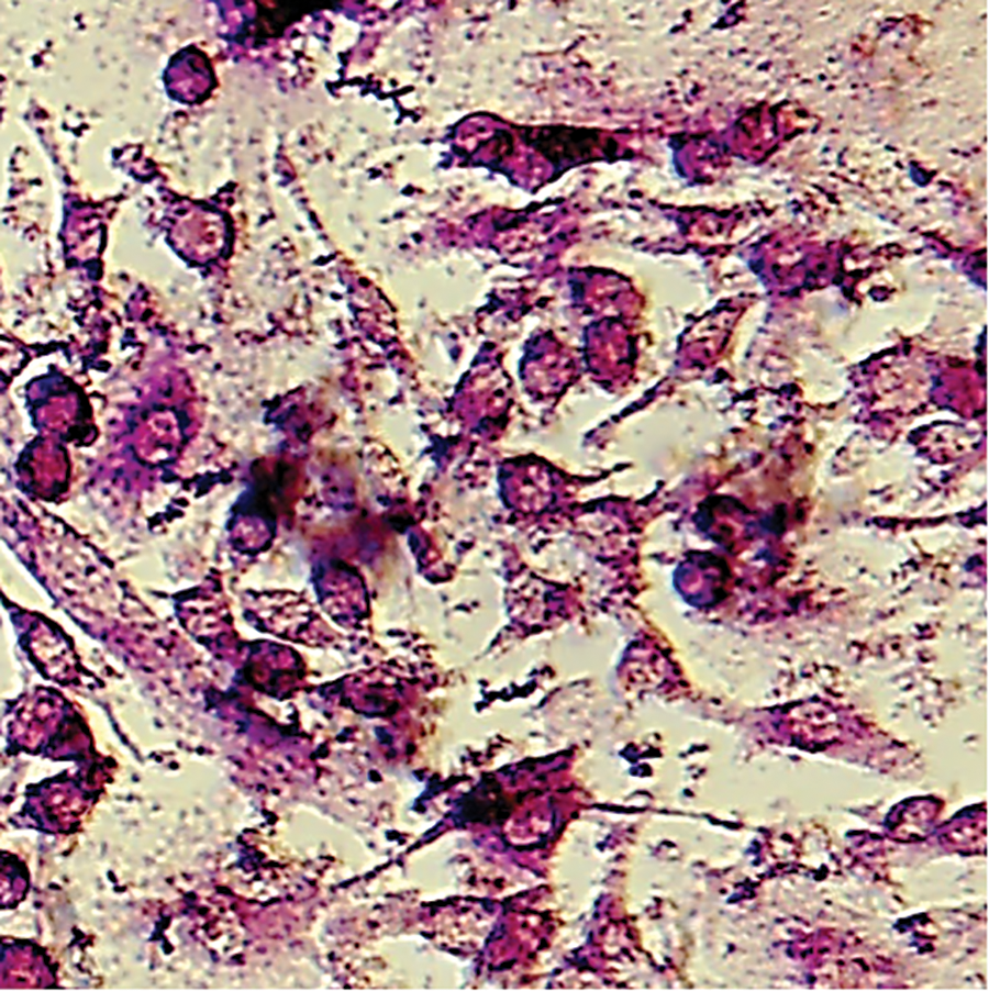
The osteoclasts derived from the bone marrow cells were evaluated by the Staining Kit purchased from the Kamiya Biomedical Company (Seattle, WA, USA). Briefly, the culture medium was removed, and each well was washed with 100 μL of phosphate buffer solution (PBS). Then, 50 μL of fixative was added to each well for 5 minutes. Each well was washed with dH2O, followed by the addition of 50 μL of chromogenic substrate to each well and incubation for 20 to 60 minutes. Then, an inverted microscope was used, and each well was photographed with a digital camera (Motic AE200, USA). The osteoclasts were identified by the red colour that was developed and quantified by tartrate-resistant acid phosphatase (TRAP) staining using Imaged/Fiji 1.46 software (NIH, USA) Fig. 1.

Fig. 1. Osteoclasts that are derived from bone marrow cells.

Micropulse Vibration Simulation of Murine Osteoblasts and Osteoclasts

After both types of cells were prepared for the experimental procedures, they were subjected to micropulse vibrations (0.25 N at 30 Hz) with an AcceleDent® Aura appliance (OrthoAccel Technologies, Inc., Bellaire, Texas, USA) and microvibrated for 20 minutes per day for 0 to 96 hours. Samples of the culture media were stored in an ultra-freezer and assayed 5 days later to measure IL-1β, TNF-α, and sRANKL protein levels by ELISA (R&D Systems, Minneapolis, MN, USA).

Evaluation of CatK Production by Flow Cytometry in Cultures of Bone Marrow Cells

Cultures of osteoclasts stimulated with micropulse vibration or control cultures were incubated for 4 hours with brefeldin (BFA), an inhibitor of protein secretion, including CatK secretion. Next, the cultures were washed, fixed, and permeabilized with a commercial kit [Fixation/Permeabilization Kit (Thermo Fisher Scientific, Inc.)]. Then, the cells were detached from the tissue culture flask surface with a 0.5% porcine trypsin solution containing 0.2% EDTA for two to four minutes. After the detachment of bone marrow cells, optical microscopy was performed. Samples of cells in a solution containing approximately 100,000 bone marrow-derived cells were incubated with a rabbit anti-human CatK antibody. Then, the cells were washed with PBS containing 3% serum bovine albumin and PE. We incubated the cells with a 1:200 dilution of the secondary antibody anti-rabbit IgG labelled with phycoerythrin for 45 minutes at room temperature. Finally, the cells were washed with PBS-albumin buffer twice and analysed by cytofluorometry in a FACSCalibur Cytometer (Becton-Dickinson, San Jose, CA). We recorded 20,000 events for each sample. Controls with no antibodies or with only secondary antibodies were included.

Statistical Assessment of Enzyme-Linked Immunosorbent Assays

IL-1β, TNF-α, and RANKL in both types of cells were analysed and compared before and after stimulation with microvibrations. Statistically significant differences between the control and experimental groups were determined by the Mann‒Whitney U test (two-tailed) with GraphPad Prism 9 software (San Diego, CA, USA). P < 0.05 was defined as the level of significance.

Results

Murine calvarial osteoblasts and bone marrow-derived osteoclasts in monolayer cultures constitutively synthesized IL-1β, TNF-α, and RANKL from 0 to 96 hours. At 0, 24, 48 and 72 hours after a 20-minute stimulation with the micropulse vibration instrument. The black bars represent control cells, and the white bars represent micropulse-treated cells, the culture medium were analysed by ELISA. The results are expressed as the mean ± SEM for 5 cultures (Fig. 2). IL-1β was significantly upregulated in osteoblast cultures (Fig. 2B, Table I) and significantly downregulated in osteoclast cultures (Fig. 2A, Table I). TNF-α expression in osteoblasts was significantly upregulated from 0 to 96 hours (Fig. 2D, Table II) and downregulated in osteoclast supernatant from 0 to 48 hours (Fig. 2C, Table II), and sRANKL expression was significantly downregulated in osteoblasts from 0 to 72 hours (Fig. 2F, Table III) and in osteoclasts from 0 to 96 hours (Fig. 2E, Table III). Bone marrow-derived cells in monolayer cultures were analysed for TRAP (Fig. 1), and the number of cells with positive staining developed different intensities of red colour. Mouse bone marrow cultures were stimulated for 20 minutes per day for 0 to 72 hours with the AcceleDent instrument and showed significant upregulation of CatK expression from 0 to 72 hours compared with that in the control group (Figs. 3 and 4, Table IV).

Fig. 2. IL-1β downregulated in osteoclasts (A) and upregulated in osteoblast (B); TNF-α downregulated in osteoclasts (C) and upregulated in osteoblasts (D); RANKL downregulated in osteoclasts (E) and osteoblasts (F).

Osteoblast IL-1β Osteoclast IL-1β
Hours Mean − DS Mean − DS Mean − DS Mean − DS
Control Experimental Control Experimental
0 2.665 ± 0.5829 3.532 ± 0.4247* 3.725 ± 0.4747 2.807 ± 0.5973*
24 2.648 ± 0.4090 3.515 ± 0.4211* 3.514 ± 0.5331 2.639 ± 0.4890*
48 2.754 ± 0.4701 3.642 ± 0.3927* 2.881 ± 0.3859 2.426 ± 1.2810
72 2.774 ± 0.4932 3.661 ± 0.2706** 3.435 ± 0.5264 2.358 ± 0.4134**
96 2.531 ± 1.2130 2.536 ± 1.2960 3.088 ± 0.8404 2.214 ± 1.2300
Table I. Mean and SD of IL-1β Expression in Both Types of Bone Cells
Osteoblast TNF-α Osteoclast TNF-α
Hours Mean − DS Mean − DS Mean − DS Mean − DS
Control Experimental Control Experimental
0 2.860 ± 0.6960 3.750 ± 0.3179* 3.745 ± 0.2082 3.020 ± 0.5732*
24 3.096 ± 0.4878 3.680 ± 0.2820* 3.560 ± 0.4787 2.691 ± 0.4326*
48 2.618 ± 0.4358 3.396 ± 0.4594* 3.602 ± 0.3704 2.676 ± 0.5630*
72 2.827 ± 0.4925 3.612 ± 0.4798* 3.566 ± 0.3594 3.096 ± 0.5473
96 2.767 ± 0.5592 3.655 ± 0.4841* 2.860 ± 1.0870 2.921 ± 1.1310
Table II. Mean and SD of TNF-α Expression in Both Types of Bone Cells
Osteoblast RANKL Osteoclast RANKL
Hours Mean − DS Mean − DS Mean − DS Mean − DS
Control Experimental Control Experimental
0 3.674 ± 0.3071 2.704 ± 0.5771* 3.562 ± 0.5990 2.592 ± 0.5281*
24 3.769 ± 0.1755 3.284 ± 0.1541** 3.578 ± 0.4993 2.661 ± 0.4991*
48 3.728 ± 0.4233 2.929 ± 0.4717* 3.440 ± 0.3668 2.630 ± 0.5453*
72 3.868 ± 0.1134 3.194 ± 0.3790** 3.480 ± 0.4723 2.827 ± 0.4228*
96 3.889 ± 0.0562 3.330 ± 0.1531**** 3.377 ± 0.2782 2.795 ± 1.1880
Table III. Mean and SD of RANKL Expression in Both Types of Bone Cells

Fig. 3. Histogram 1. CatK production by bone marrow cells: Gate R1 (A) represents the cells analyzed, (B) Cells without anti-CatK antibody, (C) Cells positive for CatK in the control group, and (D) Cells negative for CatK (R2) and positive for CAtK (R3).

Fig. 4. Histogram 2. CatK production by bone marrow cells: Gate R1 (A) represents the cells analyzed, (B) Cells without anti-CatK antibody, (C) Cells positive for Catk in the microvibration group, and (D) Cells negative for CatK (R2) and positive for CAtK (R3).

Hours Control group cells in region 3 of histogram 1 (C): Cat K expression in osteoclasts Experimental group cells in region 3 of histogram 2 (C): Cat K expression in osteoclasts
0 173 (3.46%) 3384 (67.68%)****
24 43 (0.86%) 3453 (69.06%)****
48 89 (1.78%) 3762 (75.24%)****
72 206 (4.12%) 3921 (78.42%)****
Table IV. There was a Statistically Significant Increase in CatK at 0 to 72 Hours in Osteoclasts Subjected to Microvibration Compared to that in the Control Group (****p < 0.0001)

IL-1β expression was upregulated in osteoblasts subjected to microvibrations from 0 to 72 hours compared with the control *p < 0.01 **p < 0.001, and IL-1β expression was downregulated in osteoclasts compared with that of the control group from 0 to 72 hours *p < 0.01 **p < 0.001.

TNF-α expression was upregulated in osteoblasts subjected to microvibrations from 0 to 96 hours compared with the controls *p < 0.01, and TNF-α expression was downregulated in osteoclasts compared with that of the control group from 0 to 48 hours *p < 0.01.

RANKL expression (Table III) was downregulated in osteoblasts subjected to microvibrations from 0 to 72 hours compared with the controls *p < 0.01, **p < 0.001, ****p < 0.0001, and RANKL expression was also downregulated in osteoclasts compared with that of the control group from 0 to 96 hours *p < 0.01.

Cells were subjected to micropulse vibration and compared to cells in the control group. Histogram 1 shows region 3 in red and the number of unit cells of the control group that expressed CatK (43; 0.86%) (Fig. 3C). Histogram 2 represents the cells subjected to microvibration that were quantified in region 3 in red, which corresponded to 3453 (69.06%) cells that expressed CatK; there was significant upregulation of CatK at 24 hours in the experiments (****p < 0.0001) (Fig. 4C). The histogram results at 0, 48, and 72 hours are shown in Table IV.

Discussion

This study showed that the application of microvibration to osteoblast cultures induced significant upregulation of IL-1β compared to the expression in the control group. IL-1β is a potent cytokine with diverse biological activities that is also produced by osteoblasts and has receptors on the same cells [13]. IL-1β can induce bone formation and contribute to bone loss via its synergistic effect with RANKL, mediated by the receptor activator of NK-kappa B (RANKr), on circulating monocytes in the bloodstream and mediate osteoclastic differentiation. Furthermore, IL-1β increases the levels of nitric oxide (NO) and prostaglandin E2 (PGE2) in bone cells in vitro, and both NO and PGE2 are associated with bone formation [14]; therefore, the application of microvibrations to osteoblasts cultured in vitro enhanced bone formation and synergistically acted with RANKL to increase osteoclast activity. IL-1β expression in osteoclasts subjected to microvibration was significantly downregulated compared to that in the control group. Osteoclasts express IL-1, and their bone resorption activity is potentiated through IL-1α and IL-1β in the presence of RANKL in vitro; IL-1 also induces multinucleated osteoclasts and therefore is involved in the bone resorption activity of osteoclasts even in the absence of osteoblasts [15]. The downregulation of this cytokine in osteoclast cultures in this study showed that osteoclastic activity was inhibited by microvibration; moreover, it has been suggested that following microvibration stimulation, dendritic cell-specific transmembrane protein (DC-STAMP) expression is reduced in osteoclast precursors, leading to the inhibition of osteoclast formation [16].

The synthesis of TNF-α by osteoblasts was significantly upregulated compared with that in the control group. TNF-α plays an important role in skeletal bone disorders; it reduces the formation of mature osteoblasts and increases osteoclastic activity by inducing RANKL in conjunction with IL-1β and interleukin-6 (IL-6) [2]. Therefore, this study showed that microvibration inhibited the maturation of osteoblasts and altered osteoclast activity.

In the osteoclast group stimulated with microvibration, there was significant downregulation of TNF-α compared to its expression in the control group. Multinucleated giant cell osteoclasts stimulate bone resorption through a mechanism that involves contact with osteoblasts via RANKL, which mediates the differentiation of these cells [17]. However, the expression of TNF-α by osteoclasts can stimulate osteoclastic differentiation in conjunction with macrophage colony-stimulating factor (M-CSF) by a mechanism that is independent of the OPG/RANKL/RANK pathway [18]. Nevertheless, microvibration stimulation of osteoclast cultures downregulated TNF-α expression, which suggests the inhibition of osteoclast activity.

Osteoblast and osteoclast cultures were stimulated with microvibration, and the expression of RANKL was significantly downregulated following microvibration compared to that in the control group in both types of cells. This protein induces the differentiation of these cells through activation of the transcription factor NFATc-1, which is responsible for modulating the expression of genes necessary for the formation of mature osteoclasts and the initiation of bone resorption [19]. However, the microvibration-induced downregulation of RANKL in these bone cells was due to the upregulation of IL-4 and IL-13; the upregulation of these cytokines increases osteoblast expression of OPG [3], which is a natural mimic of RANKL. Therefore, this kind of microvibration inhibited osteoclastogenesis.

Furthermore, this study evaluated the expression of CatK in bone marrow-derived osteoclasts by flow cytometry. Cells subjected to microvibration showed significant upregulation of CatK compared to those in the control group. CatK, a cysteine protease, is expressed by osteoclasts that digest the bone matrix during bone resorption. Although microvibrations inhibit osteoclastogenesis, this study showed for the first time that microvibrations, a mechanical signal, increased CatK in osteoclasts, an effect mediated in part by IL-17, which was stimulated by this type of microvibrations in osteoblasts [3]; likewise, it has been shown that mechanical loading increases CatK in osteoblast lining cells and osteocytes, induces periostin (Postn) expression and downregulates SOST expression in osteocytes [20]. This gene stimulates the protein sclerostin, which inhibits bone formation and ultimately increases Wnt-β catenin signalling, which increases cortical bone formation [21].

This in vitro study was conducted under controlled experimental conditions, and the results provide insights into the effects of microvibrations on bone cells. However, because this was an in vitro study, it did not address the interactions of the cells with other cell types that would be present under in vivo conditions, which was a limitation of this study.

Conclusions

Considering the limitations of this study, the AcceleDent Aura instrument produces micro-vibrations that promote IL-1β and TNF-α expression in osteoblasts, thereby stimulating osteoclast activity and inhibiting their expression in osteoclasts. Moreover, microvibrations inhibit RANKL expression in both types of cells, which causes osteoclast inhibition and upregulates CatK expression in osteoclasts in vitro, thus increasing bone matrix degradation, which stimulates osteoblastic bone formation and accelerates bone mineralization.

Since tooth movement is a complex biological process, tooth movement acceleration stimulated by these types of microvibrations is challenging to study at the cellular and molecular levels, but this information could change orthodontic practice. Nonetheless, the application of microvibrations could enable the consolidation of implants and, to some extent, could also reduce alveolar bone defects, such as dehiscence and fenestration.

References

  1. García-López S, Meikle MC, Villanueva RE, Montaño L, Massó F, Ramírez-Amador V, et al. Mechanical deformation inhibits IL-10 and stimulates IL-12 production by mouse calvarial osteoblasts in vitro. Arch Oral Biol. 2005;50:449–52.
     Google Scholar
  2. García-López S, Villanueva R, Meikle MC. Alterations in the synthesis of IL-1β, TNF-α, IL-6, and their downstream targets RANKL and OPG by mouse calvarial osteoblasts in vitro: inhibition of bone resorption by cyclic mechanical strain. Front Endocrinol. 2013;4:160.
     Google Scholar
  3. García-López S, Villanueva RE, Massó-Rojas F, Páez-Arenas A, Meikle MC. Micro-vibrations at 30 Hz on bone cells cultivated in vitro produce soluble factors for osteoclast inhibition and osteoblast activity. Arch Oral Biol. 2020;110:104594.
     Google Scholar
  4. Xie L, Jacobson JM, Choi ES, Busa B, Donahue LR, Miller LM, et al. Low-level mechanical vibrations can influence bone resorption and bone formation in the growing skeleton. Bone. 2006;39: 1059–66.
     Google Scholar
  5. Rubin C, Recker R, Cullen D, Ryaby J, McCabe J, McLeod K. Prevention of postmenopausal bone loss by a low-magnitude, highfrequency mechanical stimuli: a clinical trial assessing compliance, efficacy, and safety. J Bone Miner Res. 2004;19:343–51.
     Google Scholar
  6. Costa AG, Cusano NE, Silva BC, Cremers S, Bilezikian JP.Cathepsin K: its skeletal actions and role as a therapeutic target in osteoporosis. Nat Rev Rheumatol. 2011;7:447–56.
     Google Scholar
  7. Meikle MC. The tissue, cellular, and molecular regulation of orthodontic tooth movement: 100 years after carl sandstedt. Eur J Orthod. 2006;28:221–40.
     Google Scholar
  8. Nilforoushan D, Manolson MF. Expression of nitric oxide synthases in orthodontic tooth movement. Angle Orthod. 2009;79:502–8.
     Google Scholar
  9. Sandy JR, Farndale RW, Meikle MC. Recent advances in understanding mechanically induced bone remodeling and their relevance to orthodontic theory and practice. Am J Orthod Dentofac Orthop. 1993;103:212–22.
     Google Scholar
  10. McDonald F. Electrical effects at the bone surface. Eur J Orthod. 1993;15:175–83.
     Google Scholar
  11. Heath JK, Atkinson SJ, Meikle MC, Reynolds JJ. Mouse osteoblasts synthesize collagenase in response to bone resorbing agents. Biochim Biophys Acta. 1984;802:151–4.
     Google Scholar
  12. Tumber A, Papaioannou S, Breckon J, Meikle MC, Reynolds JJ, Hill PA. The effects of serine proteinase inhibitors on bone resorption in vitro. J Endocrinol. 2003;178:437–47.
     Google Scholar
  13. Lorenzo JA, Sousa SL, Van den Brink-Webb SE, Korn JH. Production of both interleukin-1 alpha and beta by newborn mouse calvarial cultures. J Bone Miner Res. 1990;5:77–83.
     Google Scholar
  14. Fox SW, Chambers TJ, Chow JW. Nitric oxide is an early mediator of the increase in bone formation by mechanical stimulation. Am J Physiol. 1996;270:E955–60.
     Google Scholar
  15. Ohmori Y, Hanazawa S, Amano S, Hirose K, Kumegawa M, Kitano S. Effects of recombinant human interleukin 1 alpha and interleukin 1 beta on cell growth and alkaline phosphatase of the mouse osteoblastic cell line MC3T3-E1. Biochim Biophys Acta. 1988;970:22–30.
     Google Scholar
  16. Kulkarni RN, Voglewede PA, Liu D. Mechanical vibration inhibits osteoclast formation by reducing DC-STAMP receptor expression in osteoclast precursor cells. Bone. 2013;57:493–8.
     Google Scholar
  17. Suda T, Takahashi N, Martin TJ. Modulation of osteoclast differentiation. Endocr Rev. 1992;13:66–80.
     Google Scholar
  18. Kobayashi K, Takahashi N, Jimi E, Udagawa N, Takami M, Kotake S, et al. Tumor necrosis factor alpha stimulates osteoclast differentiation by a mechanism independent of the ODF/RANKLRANK interaction. J ExpMed. 2000;191:275–86.
     Google Scholar
  19. Yasuda H, Shima N, Nakagawa N, Yamaguchi K, Kinosaki M, Mochizuki S, et al. Osteoclast differentiation factor is a ligand for osteoprotegerin/osteoclastogenesis-inhibitory factor and is identical to TRANCE/RANKL. Proc Natl Acad Sci U S A. 1998;95:3597–602.
     Google Scholar
  20. Bautista-Carbajal A, Villanueva-Arriaga RE, Páez-Arenas A, Massó-Rojas F, Frechero Molina N, García-López S. Nitrogen-containing bisphosphonates downregulate cathepsin K and upregulate annexin V in osteoclasts cultured in vitro. Int J Dent. 2023;2023:2960941.
     Google Scholar
  21. Bonnet N, Brun J, Rousseau JC, Duong LT, Ferrari SL. Cathepsin K controls cortical bone formation by degrading periostin. J Bone Miner Res. 2017;32:1432–41.
     Google Scholar